Research Paper Volume 11, Issue 9 pp 2653—2669

Prostate enlargement and altered urinary function are part of the aging process

class="figure-viewer-img"

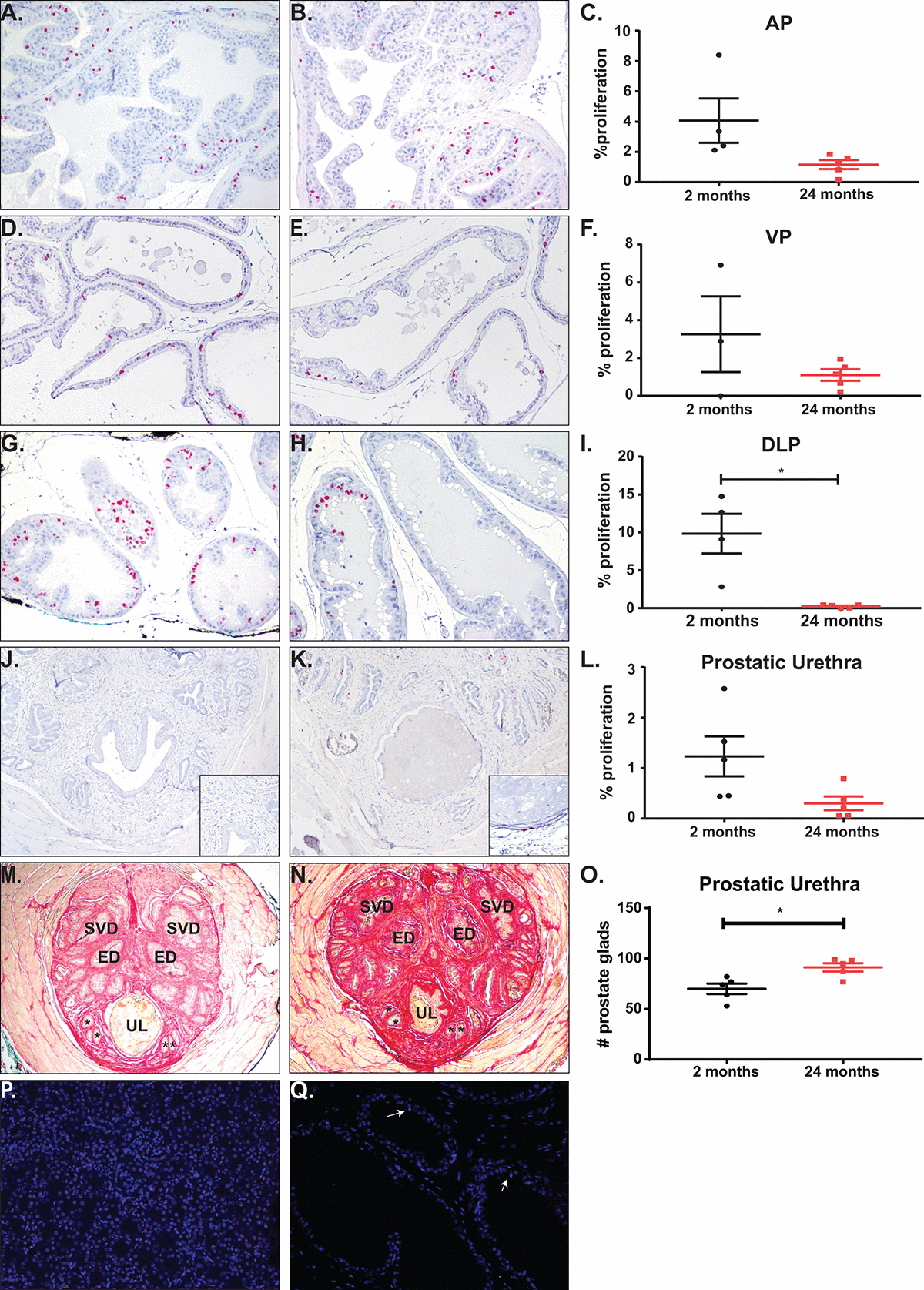
Figure 5. Total proliferation increases with age with no change in proliferation or apoptosis rates. (A) Representative image of BrdU accumulation within the AP of young mice. (B) Representative image of BrdU accumulation with the AP of aged mice. (C) Quantitation of percent proliferation within the AP shows no significant change in proliferation rate with age. (D) Representative image of BrdU accumulation within the VP of young mice. (E) Representative image of BrdU accumulation with the VP of aged mice. (F) Quantitation of percent proliferation within the VP shows no significant change in proliferation rate with age. (G) Representative image of BrdU accumulation within the DLP of young mice. (H) Representative image of BrdU accumulation with the DLP of aged mice. (I) Quantitation of percent proliferation within the DLP shows a significant decrease in proliferation rate with age. (J) Representative image of BrdU accumulation around the urethral lumen within the prostatic urethra of young mice. Inset (K) Representative image of BrdU accumulation around the urethral lumen within the prostatic urethra of aged mice. (L) Quantitation of percent proliferation around the urethral lumen within the prostatic urethra shows no significant change in proliferation rate with age. (M) Representative image of the prostatic urethra of young mice. * denote representative prostate glands within the rhabdosphincter. (N) Representative image of the prostatic urethra of young mice. *, prostate glands; ED, ejaculatory duct; SVD, seminal vesicle duct; UL, urethral lumen. (O) Quantitation of prostate glands within the prostatic urethra shows a significant increase in gland number with age. (P) Staining for apoptosis of a kidney section with induced DNA breaks shows a significant percentage of TUNEL positive cells (green). (Q) Representative image of apoptosis in prostate tissue shows little to no TUNEL positive cells (white arrows).