Research Paper Volume 12, Issue 3 pp 2921—2938

The nuclear localization signal-mediated nuclear targeting of herpes simplex virus 1 early protein UL2 is important for efficient viral production

class="figure-viewer-img"

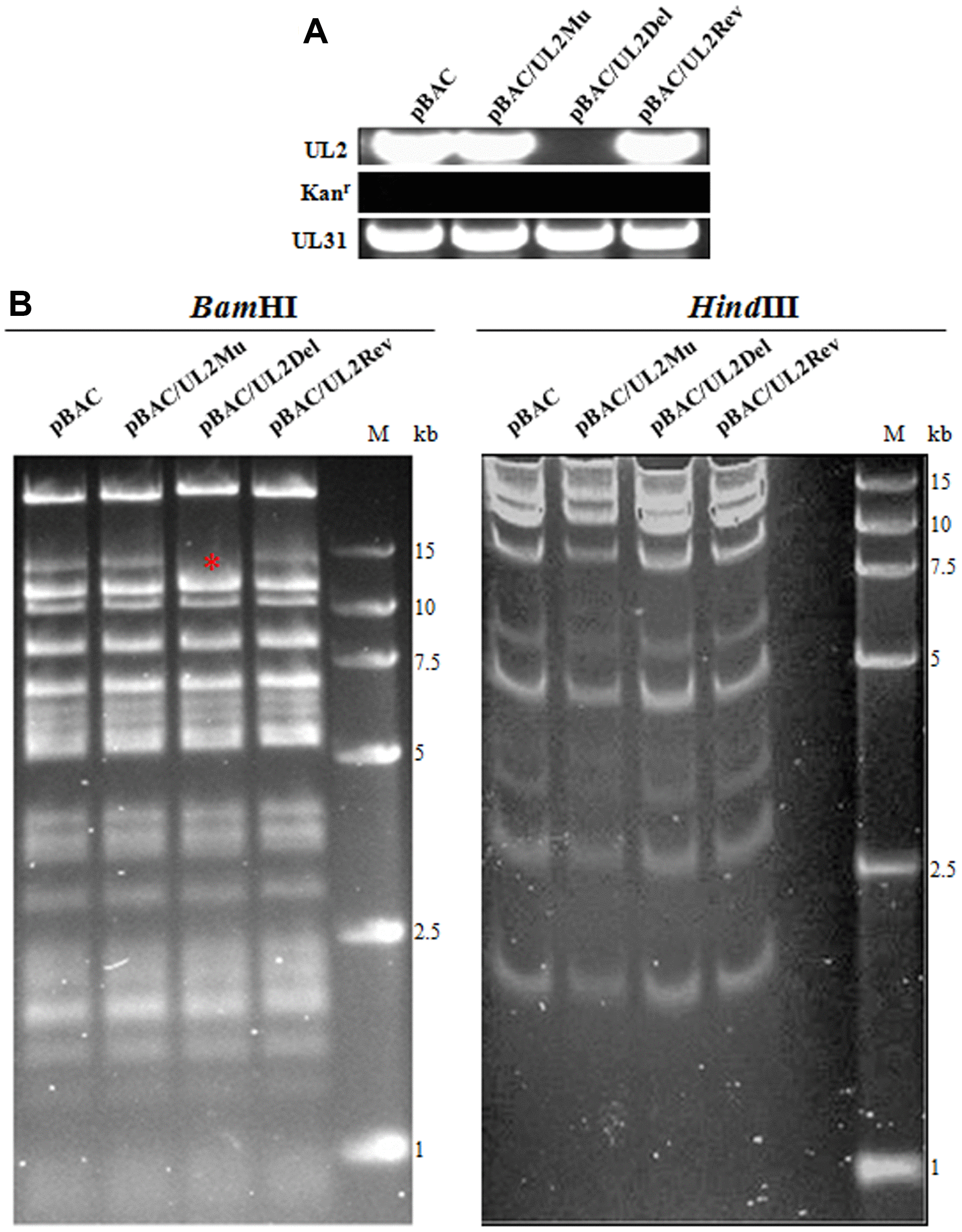
Figure 5. BACs construction of UL2-related recombinant HSV-1. (A) PCR analysis of the constructed recombinant BACs. The UL2, UL31 and Kanr genes were amplified from WT pBAC (lane 1), pBAC/UL2Mu (lane 2), pBAC/UL2Del (lane 3) and pBAC/UL2Rev (lane 4), respectively. (B) Gel electrophoresis (0.8%) of WT pBAC (lane 1) and recombinant BACs pBAC/UL2Mu (lane 2), pBAC/UL2Del (lane 3) and pBAC/UL2Rev (lane 4) analyzed by BamHI and HindIII restriction digestion, respectively. The red asterisk indicates the specific band that was disappeared only in pBAC/UL2Del genome when all the BACs were treated with BamHI digestion. Marker sizes in kb are indicated on the right side of the gels.