Research Paper Volume 12, Issue 20 pp 20163—20183

Down-regulated ciRS-7/up-regulated miR-7 axis aggravated cartilage degradation and autophagy defection by PI3K/AKT/mTOR activation mediated by IL-17A in osteoarthritis

class="figure-viewer-img"

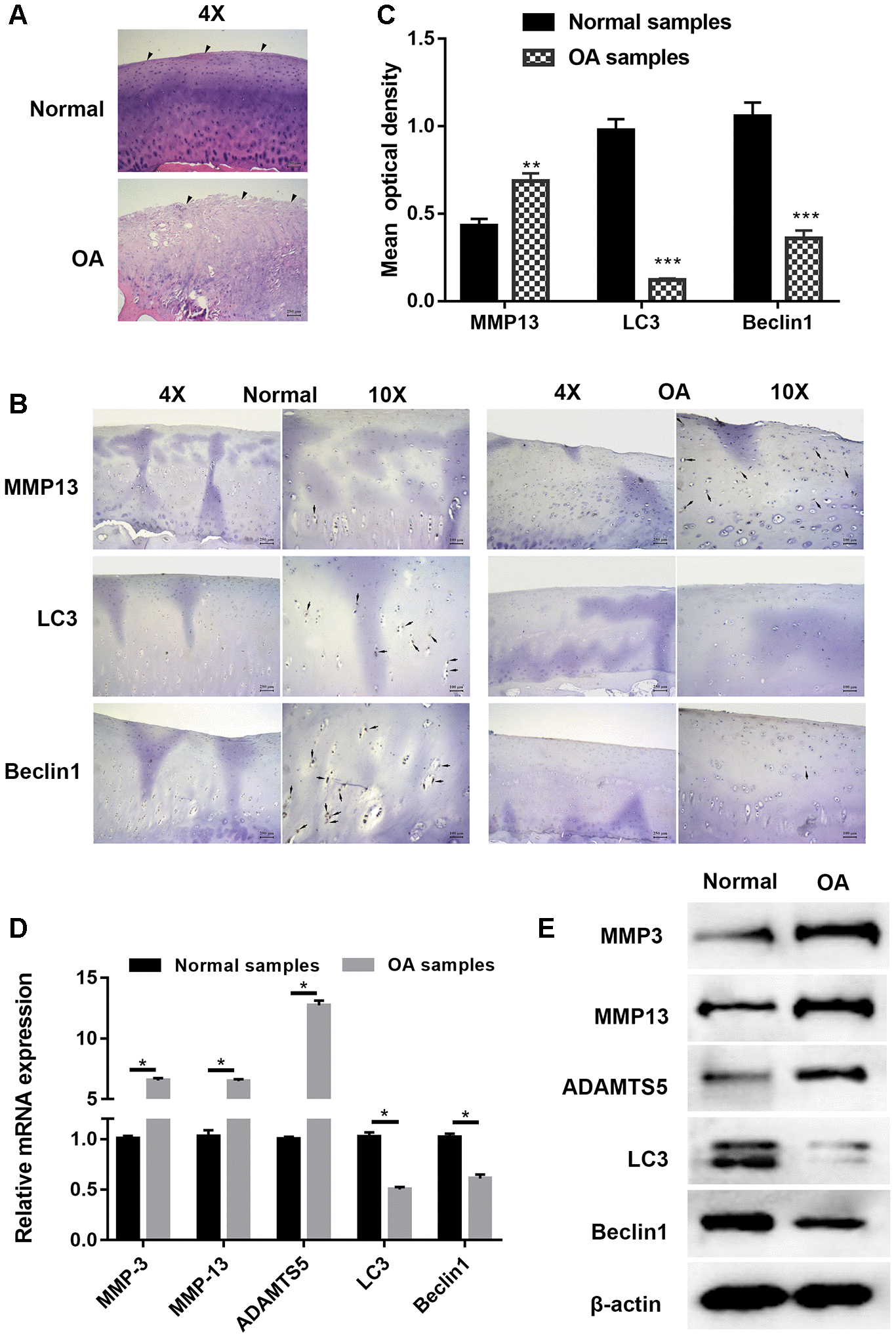
Cartilage degradation and defection of autophagy were validated in osteoarthritis samples. (A) Representative images hematoxylin and eosin (HE) staining; (B) Representative images of immunohistochemistry; (C) Quantitative optical density analysis of immunohistochemistry for samples; (D) mRNA and (E) protein expression of cartilage related proteins (MMP3, MMP13, and ADAMTS5) and autophagy related proteins Beclin1 and LC3. Data represent the mean ± SD (n=6), ** p < 0.01 and *** p < 0.001 vs. control samples.