Research Paper Volume 17, Issue 10 pp 2637—2649

Establishment of an optimized chemotherapy-induced mouse model for premature ovarian failure: protocol and findings

class="figure-viewer-img"

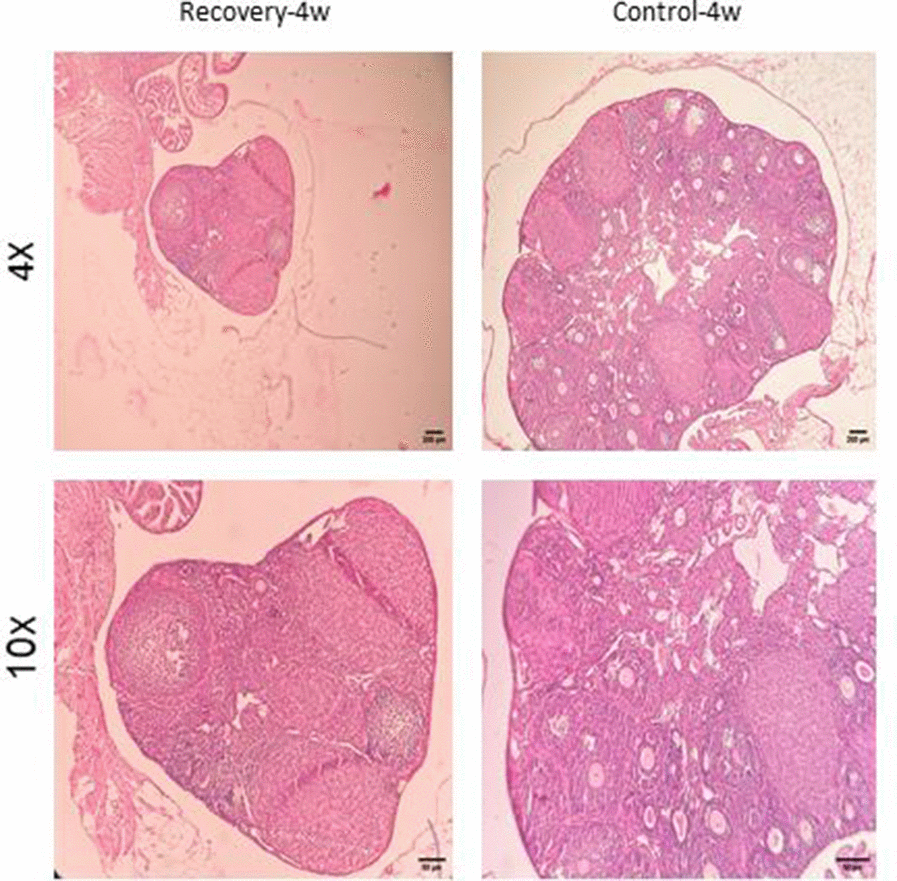
Figure 9. Confirmation of natural recovery after 4 weeks of establishment POF model in NMRI female 6-8weeks mice. Histological confirmation of POF phenotype at four weeks post-induction with CTX (100 mg/kg) + Bu (20 mg/kg). Findings demonstrate persistent follicular depletion and stromal atrophy with no signs of natural follicular recovery.